(415) 925-2880
  • Surgical
    • Cosmetic & Reconstructive Surgery
    • Body Contouring
      • After Weight Loss
      • Arm Lift
      • Avéli Cellulite Treatment
      • Brazilian Butt Lift
      • Full Body Lift
      • Labiaplasty
      • Liposuction
        • Arm
        • Thigh
        • Liposuction and Renuvion
      • Mommy Makeover
      • Renuvion Skin Tightening
      • Reverse Tummy Tuck
      • Tummy Tuck
      • Thigh Lift
      • Vaser Hi-Def Lipo
      • VECTRA® 3D Imaging
      • AlloClae
    • Breast Enhancement Procedures
      • Breast Augmentation
      • Breast Augmentation with Lift
      • Breast Lift
      • Breast Reduction
      • Breast Implant Revision
      • Fat Transfer Breast Augmentation
      • Gynecomastia for Men
    • Facial Surgery
      • Deep Plane Facelift
      • Quicklift
      • Brow Lift
      • Neck Lift
      • Facial Fat Transfer
      • Eyelid Surgery (Blepharoplasty)
      • Renuvion Skin Tightening
      • Rhinoplasty
      • Chin and Cheek Implants
      • Otoplasty
    • Plastic Surgery for Men
    • Reconstructive Surgery
      • Breast Reconstruction
      • Post Bariatric Surgery
      • Trauma Reconstruction
    • Renuvion
  • MedSpa
    • Non Surgical Treatments
    • MedSpa Treatments for Men
    • Body Contouring
      • CoolSculpting
      • Emsculpt
      • Vaginal Rejuvenation
      • Vein Treatment
    • Dermal Fillers
      • Belotero
      • Juvederm
      • Volbella
      • Voluma Dermal Filler
      • Radiesse
      • Restylane
      • RHA Fillers
      • Sculptra
      • SkinVive by Juvéderm
    • Injectables
      • Botox Cosmetic
      • Daxxify
      • Dysport®
      • Jeuveau
      • Kybella
      • Bioidentical Testosterone Supplement
      • Xeomin
    • Laser Procedures
      • Laser BBL photorejuvnation
      • Gentle CO2 Laser Treatment
      • Contour TRL Laser Resurfacing
      • Excel V+
      • Halo Laser
      • Laser Hair Removal
      • Micro Laser Peel
      • Secret Pro Laser
    • Skin Care Products
      • Aging Skin/Wrinkles/Laxity
      • Discoloration/Brown Spots
      • Dry Skin
      • Exosomes
      • Oily/Problem Skin
    • Skin Rejuvenation
      • Chemical Peels
      • Diamond Glow
      • HydraFacial MD
      • EZ PRF Gel
      • Exosomes
      • NovaThreads Lift
      • ProCell Therapy
      • Skin Care Products
      • PDRN (Salmon Facial)
      • Autologous Conditioned Plasma Services
      • Vampire Facial
      • Morpheus8
      • Scarlet Radio-Frequency Microneedling
        • Scarlet RF with Exosomes
      • SkinPen
      • Stretch Mark Treatments
    • Fat Transfer
    • Hair Restoration
      • Exosomes
      • Neograft Hair Transplant
      • Nonsurgical Hair Restoration
    • Autologous Conditioned Plasma Services
    • Hydrating and Rejuvenating IV Drips
    • Myers’ Cocktail
  • Weight Loss
    • Weight Loss Program
    • Tirzepatide
    • NAD+ Therapy
    • Wegovy (Semaglutide)
    • Lipo C Injections
    • Orbera Gastric Balloon
  • main logo main logo
  • Gallery
  • About
    • About Us
      • Reviews
      • Why Choose Us
      • Dr. Hvistendahl
      • Dr. Poulos
      • Meet the Staff
      • Our Location
    • Specials
      • Current Specials
      • Events
      • Gift Card
    • Info
      • In the Media
      • Driving Directions
      • VECTRA® 3D Imaging
      • Cutting Edge Tech
    • Patient Resources
      • Alle
      • Out Of Town Patients
      • Fees & Financing
      • Virtual Consultation Submission
        • How to Take & Submit Photos for Facial Procedure Consultation
        • How to Take & Submit Photos for Your Rhinoplasty Procedure Consultation
        • How to Take & Submit Photos for Your Breast Procedure Consultation
        • How to Take & Submit Photos for Your Body Contouring & Mommy Makeover Procedure Consultation
      • Symplast Patient Portal
    • Shop
      • Skin Care Products – SkinMedica
    • Education
      • Video FAQs
      • Aftercare Videos
      • E-Learning Guide
      • Visia Complexion Analysis
    • Blog
    • Memberships
  • Contact
    • Virtual Consultation Submission
    • In Person Consultation
Spanish Patient Portal
(415) 925-2880
main logo main logo
  • Surgical
    • Cosmetic & Reconstructive Surgery
    • Body Contouring
      • After Weight Loss
      • Arm Lift
      • Avéli Cellulite Treatment
      • Brazilian Butt Lift
      • Full Body Lift
      • Labiaplasty
      • Liposuction
        • Arm
        • Thigh
        • Liposuction and Renuvion
      • Mommy Makeover
      • Renuvion Skin Tightening
      • Reverse Tummy Tuck
      • Tummy Tuck
      • Thigh Lift
      • Vaser Hi-Def Lipo
      • VECTRA® 3D Imaging
      • AlloClae
    • Breast Enhancement Procedures
      • Breast Augmentation
      • Breast Augmentation with Lift
      • Breast Lift
      • Breast Reduction
      • Breast Implant Revision
      • Fat Transfer Breast Augmentation
      • Gynecomastia for Men
    • Facial Surgery
      • Deep Plane Facelift
      • Quicklift
      • Brow Lift
      • Neck Lift
      • Facial Fat Transfer
      • Eyelid Surgery (Blepharoplasty)
      • Renuvion Skin Tightening
      • Rhinoplasty
      • Chin and Cheek Implants
      • Otoplasty
    • Plastic Surgery for Men
    • Reconstructive Surgery
      • Breast Reconstruction
      • Post Bariatric Surgery
      • Trauma Reconstruction
    • Renuvion
  • MedSpa
    • Non Surgical Treatments
    • MedSpa Treatments for Men
    • Body Contouring
      • CoolSculpting
      • Emsculpt
      • Vaginal Rejuvenation
      • Vein Treatment
    • Dermal Fillers
      • Belotero
      • Juvederm
      • Volbella
      • Voluma Dermal Filler
      • Radiesse
      • Restylane
      • RHA Fillers
      • Sculptra
      • SkinVive by Juvéderm
    • Injectables
      • Botox Cosmetic
      • Daxxify
      • Dysport®
      • Jeuveau
      • Kybella
      • Bioidentical Testosterone Supplement
      • Xeomin
    • Laser Procedures
      • Laser BBL photorejuvnation
      • Gentle CO2 Laser Treatment
      • Contour TRL Laser Resurfacing
      • Excel V+
      • Halo Laser
      • Laser Hair Removal
      • Micro Laser Peel
      • Secret Pro Laser
    • Skin Care Products
      • Aging Skin/Wrinkles/Laxity
      • Discoloration/Brown Spots
      • Dry Skin
      • Exosomes
      • Oily/Problem Skin
    • Skin Rejuvenation
      • Chemical Peels
      • Diamond Glow
      • HydraFacial MD
      • EZ PRF Gel
      • Exosomes
      • NovaThreads Lift
      • ProCell Therapy
      • Skin Care Products
      • PDRN (Salmon Facial)
      • Autologous Conditioned Plasma Services
      • Vampire Facial
      • Morpheus8
      • Scarlet Radio-Frequency Microneedling
        • Scarlet RF with Exosomes
      • SkinPen
      • Stretch Mark Treatments
    • Fat Transfer
    • Hair Restoration
      • Exosomes
      • Neograft Hair Transplant
      • Nonsurgical Hair Restoration
    • Autologous Conditioned Plasma Services
    • Hydrating and Rejuvenating IV Drips
    • Myers’ Cocktail
  • Weight Loss
    • Weight Loss Program
    • Tirzepatide
    • NAD+ Therapy
    • Wegovy (Semaglutide)
    • Lipo C Injections
    • Orbera Gastric Balloon
  • main logo main logo
  • Gallery
  • About
    • About Us
      • Reviews
      • Why Choose Us
      • Dr. Hvistendahl
      • Dr. Poulos
      • Meet the Staff
      • Our Location
    • Specials
      • Current Specials
      • Events
      • Gift Card
    • Info
      • In the Media
      • Driving Directions
      • VECTRA® 3D Imaging
      • Cutting Edge Tech
    • Patient Resources
      • Alle
      • Out Of Town Patients
      • Fees & Financing
      • Virtual Consultation Submission
        • How to Take & Submit Photos for Facial Procedure Consultation
        • How to Take & Submit Photos for Your Rhinoplasty Procedure Consultation
        • How to Take & Submit Photos for Your Breast Procedure Consultation
        • How to Take & Submit Photos for Your Body Contouring & Mommy Makeover Procedure Consultation
      • Symplast Patient Portal
    • Shop
      • Skin Care Products – SkinMedica
    • Education
      • Video FAQs
      • Aftercare Videos
      • E-Learning Guide
      • Visia Complexion Analysis
    • Blog
    • Memberships
  • Contact
    • Virtual Consultation Submission
    • In Person Consultation

TOP PLASTIC SURGERY CENTER AND MEDSPA
IN THE BAY AREA

Home › Photo Gallery

Before & After Photo Gallery

Face Procedures

Facelift (24)

View All »

Facelift Before & After Patient #12239Facelift Before & After Patient #12239

Patient #12239

Click to Enlarge

Facelift Before & After Patient #11780Facelift Before & After Patient #11780

Patient #11780

Click to Enlarge

Facelift Before & After Patient #8034Facelift Before & After Patient #8034

Patient #8034

Click to Enlarge

Facelift Before & After Patient #5637Facelift Before & After Patient #5637

Patient #5637

Click to Enlarge

Facelift Before & After Patient #1432Facelift Before & After Patient #1432

Patient #1432

Click to Enlarge

Facelift Before & After Patient #1617Facelift Before & After Patient #1617

Patient #1617

Click to Enlarge

Facelift Before & After Patient #1669Facelift Before & After Patient #1669

Patient #1669

Click to Enlarge

Facelift Before & After Patient #1598Facelift Before & After Patient #1598

Patient #1598

Click to Enlarge

Facelift Before & After Patient #1563Facelift Before & After Patient #1563

Patient #1563

Click to Enlarge

Facelift Before & After Patient #4062Facelift Before & After Patient #4062

Patient #4062

Click to Enlarge

Facelift Before & After Patient #1664Facelift Before & After Patient #1664

Patient #1664

Click to Enlarge

Facelift Before & After Patient #4072Facelift Before & After Patient #4072

Patient #4072

Click to Enlarge

Facelift Before & After Patient #1463Facelift Before & After Patient #1463

Patient #1463

Click to Enlarge

Facelift Before & After Patient #1477Facelift Before & After Patient #1477

Patient #1477

Click to Enlarge

Facelift Before & After Patient #1484Facelift Before & After Patient #1484

Patient #1484

Click to Enlarge

Facelift Before & After Patient #1694Facelift Before & After Patient #1694

Patient #1694

Click to Enlarge

Facelift Before & After Patient #1679Facelift Before & After Patient #1679

Patient #1679

Click to Enlarge

Facelift Before & After Patient #1646Facelift Before & After Patient #1646

Patient #1646

Click to Enlarge

Facelift Before & After Patient #1627Facelift Before & After Patient #1627

Patient #1627

Click to Enlarge

Facelift Before & After Patient #1612Facelift Before & After Patient #1612

Patient #1612

Click to Enlarge

Facelift Before & After Patient #1605Facelift Before & After Patient #1605

Patient #1605

Click to Enlarge

Facelift Before & After Patient #1591Facelift Before & After Patient #1591

Patient #1591

Click to Enlarge

Facelift Before & After Patient #1584Facelift Before & After Patient #1584

Patient #1584

Click to Enlarge

Facelift Before & After Patient #1491Facelift Before & After Patient #1491

Patient #1491

Click to Enlarge

Quick Lift (42)

View All »

Quick Lift Before & After Patient #12803Quick Lift Before & After Patient #12803

Patient #12803

Click to Enlarge

Quick Lift Before & After Patient #12711Quick Lift Before & After Patient #12711

Patient #12711

Click to Enlarge

Quick Lift Before & After Patient #12377Quick Lift Before & After Patient #12377

Patient #12377

Click to Enlarge

Quick Lift Before & After Patient #11538Quick Lift Before & After Patient #11538

Patient #11538

Click to Enlarge

Quick Lift Before & After Patient #9451Quick Lift Before & After Patient #9451

Patient #9451

Click to Enlarge

Facelift Before & After Patient #8034Facelift Before & After Patient #8034

Patient #8034

Click to Enlarge

Facelift Before & After Patient #1617Facelift Before & After Patient #1617

Patient #1617

Click to Enlarge

Facelift Before & After Patient #1669Facelift Before & After Patient #1669

Patient #1669

Click to Enlarge

Facelift Before & After Patient #1598Facelift Before & After Patient #1598

Patient #1598

Click to Enlarge

Facelift Before & After Patient #1563Facelift Before & After Patient #1563

Patient #1563

Click to Enlarge

Facelift Before & After Patient #1664Facelift Before & After Patient #1664

Patient #1664

Click to Enlarge

Facelift Before & After Patient #1463Facelift Before & After Patient #1463

Patient #1463

Click to Enlarge

Facelift Before & After Patient #1477Facelift Before & After Patient #1477

Patient #1477

Click to Enlarge

Facelift Before & After Patient #1484Facelift Before & After Patient #1484

Patient #1484

Click to Enlarge

Quick Lift Before & After Patient #4401Quick Lift Before & After Patient #4401

Patient #4401

Click to Enlarge

Quick Lift Before & After Patient #4398Quick Lift Before & After Patient #4398

Patient #4398

Click to Enlarge

Quick Lift Before & After Patient #4395Quick Lift Before & After Patient #4395

Patient #4395

Click to Enlarge

Quick Lift Before & After Patient #4390Quick Lift Before & After Patient #4390

Patient #4390

Click to Enlarge

Quick Lift Before & After Patient #4379Quick Lift Before & After Patient #4379

Patient #4379

Click to Enlarge

Quick Lift Before & After Patient #4370Quick Lift Before & After Patient #4370

Patient #4370

Click to Enlarge

Quick Lift Before & After Patient #4361Quick Lift Before & After Patient #4361

Patient #4361

Click to Enlarge

Quick Lift Before & After Patient #4356Quick Lift Before & After Patient #4356

Patient #4356

Click to Enlarge

Quick Lift Before & After Patient #4347Quick Lift Before & After Patient #4347

Patient #4347

Click to Enlarge

Quick Lift Before & After Patient #4342Quick Lift Before & After Patient #4342

Patient #4342

Click to Enlarge

Quick Lift Before & After Patient #4332Quick Lift Before & After Patient #4332

Patient #4332

Click to Enlarge

Quick Lift Before & After Patient #4325Quick Lift Before & After Patient #4325

Patient #4325

Click to Enlarge

Quick Lift Before & After Patient #4322Quick Lift Before & After Patient #4322

Patient #4322

Click to Enlarge

Quick Lift Before & After Patient #4311Quick Lift Before & After Patient #4311

Patient #4311

Click to Enlarge

Quick Lift Before & After Patient #4308Quick Lift Before & After Patient #4308

Patient #4308

Click to Enlarge

Quick Lift Before & After Patient #4297Quick Lift Before & After Patient #4297

Patient #4297

Click to Enlarge

Quick Lift Before & After Patient #4290Quick Lift Before & After Patient #4290

Patient #4290

Click to Enlarge

Quick Lift Before & After Patient #4285Quick Lift Before & After Patient #4285

Patient #4285

Click to Enlarge

Quick Lift Before & After Patient #4280Quick Lift Before & After Patient #4280

Patient #4280

Click to Enlarge

Quick Lift Before & After Patient #4091Quick Lift Before & After Patient #4091

Patient #4091

Click to Enlarge

Facelift Before & After Patient #1694Facelift Before & After Patient #1694

Patient #1694

Click to Enlarge

Facelift Before & After Patient #1679Facelift Before & After Patient #1679

Patient #1679

Click to Enlarge

Facelift Before & After Patient #1627Facelift Before & After Patient #1627

Patient #1627

Click to Enlarge

Facelift Before & After Patient #1612Facelift Before & After Patient #1612

Patient #1612

Click to Enlarge

Facelift Before & After Patient #1605Facelift Before & After Patient #1605

Patient #1605

Click to Enlarge

Facelift Before & After Patient #1591Facelift Before & After Patient #1591

Patient #1591

Click to Enlarge

Facelift Before & After Patient #1584Facelift Before & After Patient #1584

Patient #1584

Click to Enlarge

Facelift Before & After Patient #1491Facelift Before & After Patient #1491

Patient #1491

Click to Enlarge

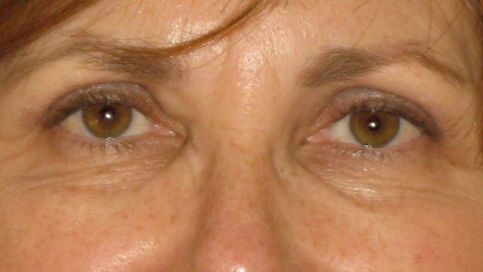
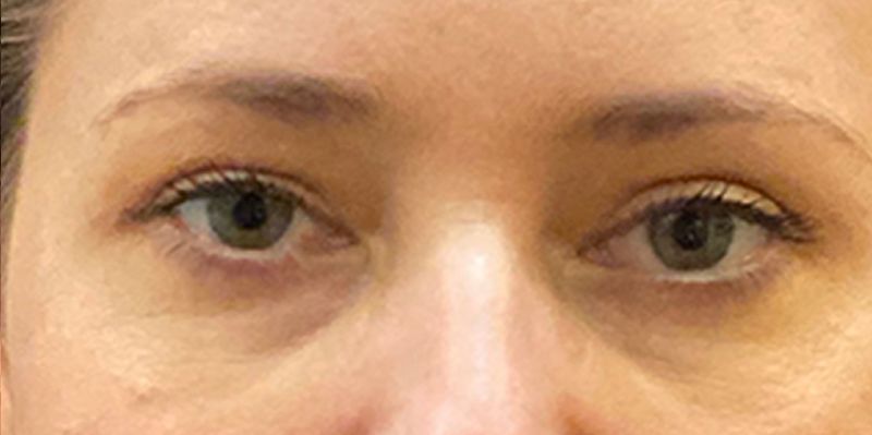
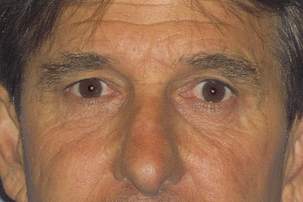
Eyelid Surgery (36)

View All »

Quick Lift Before & After Patient #12803Quick Lift Before & After Patient #12803

Patient #12803

Click to Enlarge

Eyelid Surgery Before & After Patient #12246Eyelid Surgery Before & After Patient #12246

Patient #12246

Click to Enlarge

Eyelid Surgery Before & After Patient #12220Eyelid Surgery Before & After Patient #12220

Patient #12220

Click to Enlarge

Eyelid Surgery Before & After Patient #10820Eyelid Surgery Before & After Patient #10820

Patient #10820

Click to Enlarge

Eyelid Surgery Before & After Patient #10777Eyelid Surgery Before & After Patient #10777

Patient #10777

Click to Enlarge

Eyelid Surgery Before & After Patient #10586Eyelid Surgery Before & After Patient #10586

Patient #10586

Click to Enlarge

Eyelid Surgery Before & After Patient #10360Eyelid Surgery Before & After Patient #10360

Patient #10360

Click to Enlarge

Eyelid Surgery Before & After Patient #9431Eyelid Surgery Before & After Patient #9431

Patient #9431

Click to Enlarge

Eyelid Surgery Before & After Patient #8263Eyelid Surgery Before & After Patient #8263

Patient #8263

Click to Enlarge

Eyelid Surgery Before & After Patient #7086Eyelid Surgery Before & After Patient #7086

Patient #7086

Click to Enlarge

Eyelid Surgery Before & After Patient #7036Eyelid Surgery Before & After Patient #7036

Patient #7036

Click to Enlarge

Eyelid Surgery Before & After Patient #7035Eyelid Surgery Before & After Patient #7035

Patient #7035

Click to Enlarge

Eyelid Surgery Before & After Patient #7033Eyelid Surgery Before & After Patient #7033

Patient #7033

Click to Enlarge

Eyelid Surgery Before & After Patient #7024Eyelid Surgery Before & After Patient #7024

Patient #7024

Click to Enlarge

Eyelid Surgery Before & After Patient #4880Eyelid Surgery Before & After Patient #4880

Patient #4880

Click to Enlarge

Eyelid Surgery Before & After Patient #4838Eyelid Surgery Before & After Patient #4838

Patient #4838

Click to Enlarge

Facelift Before & After Patient #1669Facelift Before & After Patient #1669

Patient #1669

Click to Enlarge

Facelift Before & After Patient #1463Facelift Before & After Patient #1463

Patient #1463

Click to Enlarge

Facelift Before & After Patient #1477Facelift Before & After Patient #1477

Patient #1477

Click to Enlarge

Facelift Before & After Patient #1484Facelift Before & After Patient #1484

Patient #1484

Click to Enlarge

Eyelid Surgery Before & After Patient #4577Eyelid Surgery Before & After Patient #4577

Patient #4577

Click to Enlarge

Eyelid Surgery Before & After Patient #4569Eyelid Surgery Before & After Patient #4569

Patient #4569

Click to Enlarge

Eyelid Surgery Before & After Patient #4563Eyelid Surgery Before & After Patient #4563

Patient #4563

Click to Enlarge

Eyelid Surgery Before & After Patient #4560Eyelid Surgery Before & After Patient #4560

Patient #4560

Click to Enlarge

Eyelid Surgery Before & After Patient #4554Eyelid Surgery Before & After Patient #4554

Patient #4554

Click to Enlarge

Eyelid Surgery Before & After Patient #4549Eyelid Surgery Before & After Patient #4549

Patient #4549

Click to Enlarge

Eyelid Surgery Before & After Patient #4546Eyelid Surgery Before & After Patient #4546

Patient #4546

Click to Enlarge

Eyelid Surgery Before & After Patient #3618Eyelid Surgery Before & After Patient #3618

Patient #3618

Click to Enlarge

Eyelid Surgery Before & After Patient #1559Eyelid Surgery Before & After Patient #1559

Patient #1559

Click to Enlarge

Eyelid Surgery Before & After Patient #1554Eyelid Surgery Before & After Patient #1554

Patient #1554

Click to Enlarge

Eyelid Surgery Before & After Patient #1542Eyelid Surgery Before & After Patient #1542

Patient #1542

Click to Enlarge

Eyelid Surgery Before & After Patient #1539Eyelid Surgery Before & After Patient #1539

Patient #1539

Click to Enlarge

Eyelid Surgery Before & After Patient #1536Eyelid Surgery Before & After Patient #1536

Patient #1536

Click to Enlarge

Eyelid Surgery Before & After Patient #1533Eyelid Surgery Before & After Patient #1533

Patient #1533

Click to Enlarge

Facelift Before & After Patient #1491Facelift Before & After Patient #1491

Patient #1491

Click to Enlarge

Eyelid Surgery Before & After Patient #1450Eyelid Surgery Before & After Patient #1450

Patient #1450

Click to Enlarge

Rhinoplasty (19)

View All »

Rhinoplasty Before & After Patient #12227Rhinoplasty Before & After Patient #12227

Patient #12227

Click to Enlarge

Rhinoplasty Before & After Patient #12055Rhinoplasty Before & After Patient #12055

Patient #12055

Click to Enlarge

Rhinoplasty Before & After Patient #11591Rhinoplasty Before & After Patient #11591

Patient #11591

Click to Enlarge

Rhinoplasty Before & After Patient #11130Rhinoplasty Before & After Patient #11130

Patient #11130

Click to Enlarge

Rhinoplasty Before & After Patient #9758Rhinoplasty Before & After Patient #9758

Patient #9758

Click to Enlarge

Rhinoplasty Before & After Patient #4619Rhinoplasty Before & After Patient #4619

Patient #4619

Click to Enlarge

Rhinoplasty Before & After Patient #4633Rhinoplasty Before & After Patient #4633

Patient #4633

Click to Enlarge

Rhinoplasty Before & After Patient #4624Rhinoplasty Before & After Patient #4624

Patient #4624

Click to Enlarge

Rhinoplasty Before & After Patient #4614Rhinoplasty Before & After Patient #4614

Patient #4614

Click to Enlarge

Rhinoplasty Before & After Patient #4603Rhinoplasty Before & After Patient #4603

Patient #4603

Click to Enlarge

Rhinoplasty Before & After Patient #4598Rhinoplasty Before & After Patient #4598

Patient #4598

Click to Enlarge

Rhinoplasty Before & After Patient #4595Rhinoplasty Before & After Patient #4595

Patient #4595

Click to Enlarge

Rhinoplasty Before & After Patient #4592Rhinoplasty Before & After Patient #4592

Patient #4592

Click to Enlarge

Rhinoplasty Before & After Patient #4589Rhinoplasty Before & After Patient #4589

Patient #4589

Click to Enlarge

Rhinoplasty Before & After Patient #3214Rhinoplasty Before & After Patient #3214

Patient #3214

Click to Enlarge

Rhinoplasty Before & After Patient #1776Rhinoplasty Before & After Patient #1776

Patient #1776

Click to Enlarge

Rhinoplasty Before & After Patient #1734Rhinoplasty Before & After Patient #1734

Patient #1734

Click to Enlarge

Rhinoplasty Before & After Patient #1719Rhinoplasty Before & After Patient #1719

Patient #1719

Click to Enlarge

Rhinoplasty Before & After Patient #1714Rhinoplasty Before & After Patient #1714

Patient #1714

Click to Enlarge

Brow Lift (1)

View All »

Facelift Before & After Patient #12239Facelift Before & After Patient #12239

Patient #12239

Click to Enlarge

Fat Transfer (8)

View All »

Quick Lift Before & After Patient #11538Quick Lift Before & After Patient #11538

Patient #11538

Click to Enlarge

Quick Lift Before & After Patient #12711Quick Lift Before & After Patient #12711

Patient #12711

Click to Enlarge

Fat Transfer Before & After Patient #3546Fat Transfer Before & After Patient #3546

Patient #3546

Click to Enlarge

Fat Transfer Before & After Patient #3534Fat Transfer Before & After Patient #3534

Patient #3534

Click to Enlarge

Fat Transfer Before & After Patient #1638Fat Transfer Before & After Patient #1638

Patient #1638

Click to Enlarge

Fat Transfer Before & After Patient #1635Fat Transfer Before & After Patient #1635

Patient #1635

Click to Enlarge

Fat Transfer Before & After Patient #1632Fat Transfer Before & After Patient #1632

Patient #1632

Click to Enlarge

Facelift Before & After Patient #1627Facelift Before & After Patient #1627

Patient #1627

Click to Enlarge

Chin Liposuction (1)

View All »

Chin Liposuction Before & After Patient #9507Chin Liposuction Before & After Patient #9507

Patient #9507

Click to Enlarge

Chin Implant (1)

View All »

Chin Implant Before & After Patient #9700Chin Implant Before & After Patient #9700

Patient #9700

Click to Enlarge

Necklift (4)

View All »

Necklift Before & After Patient #11533Necklift Before & After Patient #11533

Patient #11533

Click to Enlarge

Facelift Before & After Patient #12239Facelift Before & After Patient #12239

Patient #12239

Click to Enlarge

Quick Lift Before & After Patient #12377Quick Lift Before & After Patient #12377

Patient #12377

Click to Enlarge

Necklift Before & After Patient #6626Necklift Before & After Patient #6626

Patient #6626

Click to Enlarge

Fat Transfer to Face (3)

View All »

Fat Transfer to Face Before & After Patient #11993Fat Transfer to Face Before & After Patient #11993

Patient #11993

Click to Enlarge

Quick Lift Before & After Patient #12377Quick Lift Before & After Patient #12377

Patient #12377

Click to Enlarge

Quick Lift Before & After Patient #12803Quick Lift Before & After Patient #12803

Patient #12803

Click to Enlarge

Otoplasty (1)

View All »

Otoplasty Before & After Patient #8313Otoplasty Before & After Patient #8313

Patient #8313

Click to Enlarge

Body Procedures

Tummy Tuck (42)

View All »

Tummy Tuck Before & After Patient #12391Tummy Tuck Before & After Patient #12391

Patient #12391

Click to Enlarge

Tummy Tuck Before & After Patient #12351Tummy Tuck Before & After Patient #12351

Patient #12351

Click to Enlarge

Tummy Tuck Before & After Patient #12094Tummy Tuck Before & After Patient #12094

Patient #12094

Click to Enlarge

Tummy Tuck Before & After Patient #12086Tummy Tuck Before & After Patient #12086

Patient #12086

Click to Enlarge

Tummy Tuck Before & After Patient #11648Tummy Tuck Before & After Patient #11648

Patient #11648

Click to Enlarge

Tummy Tuck Before & After Patient #11616Tummy Tuck Before & After Patient #11616

Patient #11616

Click to Enlarge

Tummy Tuck Before & After Patient #11598Tummy Tuck Before & After Patient #11598

Patient #11598

Click to Enlarge

Tummy Tuck Before & After Patient #11487Tummy Tuck Before & After Patient #11487

Patient #11487

Click to Enlarge

Tummy Tuck Before & After Patient #11479Tummy Tuck Before & After Patient #11479

Patient #11479

Click to Enlarge

Tummy Tuck Before & After Patient #11450Tummy Tuck Before & After Patient #11450

Patient #11450

Click to Enlarge

Tummy Tuck Before & After Patient #10877Tummy Tuck Before & After Patient #10877

Patient #10877

Click to Enlarge

Tummy Tuck Before & After Patient #10739Tummy Tuck Before & After Patient #10739

Patient #10739

Click to Enlarge

Tummy Tuck Before & After Patient #10734Tummy Tuck Before & After Patient #10734

Patient #10734

Click to Enlarge

Tummy Tuck Before & After Patient #10713Tummy Tuck Before & After Patient #10713

Patient #10713

Click to Enlarge

Tummy Tuck Before & After Patient #8656Tummy Tuck Before & After Patient #8656

Patient #8656

Click to Enlarge

Tummy Tuck Before & After Patient #6631Tummy Tuck Before & After Patient #6631

Patient #6631

Click to Enlarge

Tummy Tuck Before & After Patient #5630Tummy Tuck Before & After Patient #5630

Patient #5630

Click to Enlarge

Tummy Tuck Before & After Patient #5625Tummy Tuck Before & After Patient #5625

Patient #5625

Click to Enlarge

Tummy Tuck Before & After Patient #3596Tummy Tuck Before & After Patient #3596

Patient #3596

Click to Enlarge

Tummy Tuck Before & After Patient #3591Tummy Tuck Before & After Patient #3591

Patient #3591

Click to Enlarge

Tummy Tuck Before & After Patient #3582Tummy Tuck Before & After Patient #3582

Patient #3582

Click to Enlarge

Tummy Tuck Before & After Patient #4890Tummy Tuck Before & After Patient #4890

Patient #4890

Click to Enlarge

Tummy Tuck Before & After Patient #1255Tummy Tuck Before & After Patient #1255

Patient #1255

Click to Enlarge

Tummy Tuck Before & After Patient #1250Tummy Tuck Before & After Patient #1250

Patient #1250

Click to Enlarge

Tummy Tuck Before & After Patient #1241Tummy Tuck Before & After Patient #1241

Patient #1241

Click to Enlarge

Tummy Tuck Before & After Patient #1231Tummy Tuck Before & After Patient #1231

Patient #1231

Click to Enlarge

Tummy Tuck Before & After Patient #1226Tummy Tuck Before & After Patient #1226

Patient #1226

Click to Enlarge

Tummy Tuck Before & After Patient #1214Tummy Tuck Before & After Patient #1214

Patient #1214

Click to Enlarge

Tummy Tuck Before & After Patient #1200Tummy Tuck Before & After Patient #1200

Patient #1200

Click to Enlarge

Tummy Tuck Before & After Patient #1177Tummy Tuck Before & After Patient #1177

Patient #1177

Click to Enlarge

Tummy Tuck Before & After Patient #1170Tummy Tuck Before & After Patient #1170

Patient #1170

Click to Enlarge

Tummy Tuck Before & After Patient #1158Tummy Tuck Before & After Patient #1158

Patient #1158

Click to Enlarge

Tummy Tuck Before & After Patient #1151Tummy Tuck Before & After Patient #1151

Patient #1151

Click to Enlarge

Tummy Tuck Before & After Patient #1146Tummy Tuck Before & After Patient #1146

Patient #1146

Click to Enlarge

Tummy Tuck Before & After Patient #1139Tummy Tuck Before & After Patient #1139

Patient #1139

Click to Enlarge

Tummy Tuck Before & After Patient #1125Tummy Tuck Before & After Patient #1125

Patient #1125

Click to Enlarge

Tummy Tuck Before & After Patient #1120Tummy Tuck Before & After Patient #1120

Patient #1120

Click to Enlarge

Tummy Tuck Before & After Patient #1113Tummy Tuck Before & After Patient #1113

Patient #1113

Click to Enlarge

Tummy Tuck Before & After Patient #1106Tummy Tuck Before & After Patient #1106

Patient #1106

Click to Enlarge

Tummy Tuck Before & After Patient #1099Tummy Tuck Before & After Patient #1099

Patient #1099

Click to Enlarge

Tummy Tuck Before & After Patient #1094Tummy Tuck Before & After Patient #1094

Patient #1094

Click to Enlarge

Tummy Tuck Before & After Patient #1087Tummy Tuck Before & After Patient #1087

Patient #1087

Click to Enlarge

Mommy Makeover (30)

View All »

Tummy Tuck Before & After Patient #11616Tummy Tuck Before & After Patient #11616

Patient #11616

Click to Enlarge

Tummy Tuck Before & After Patient #10734Tummy Tuck Before & After Patient #10734

Patient #10734

Click to Enlarge

Tummy Tuck Before & After Patient #10713Tummy Tuck Before & After Patient #10713

Patient #10713

Click to Enlarge

Mommy Makeover Before & After Patient #10365Mommy Makeover Before & After Patient #10365

Patient #10365

Click to Enlarge

Mommy Makeover Before & After Patient #3482Mommy Makeover Before & After Patient #3482

Patient #3482

Click to Enlarge

Mommy Makeover Before & After Patient #3479Mommy Makeover Before & After Patient #3479

Patient #3479

Click to Enlarge

Mommy Makeover Before & After Patient #3474Mommy Makeover Before & After Patient #3474

Patient #3474

Click to Enlarge

Mommy Makeover Before & After Patient #3469Mommy Makeover Before & After Patient #3469

Patient #3469

Click to Enlarge

Mommy Makeover Before & After Patient #3462Mommy Makeover Before & After Patient #3462

Patient #3462

Click to Enlarge

Mommy Makeover Before & After Patient #3455Mommy Makeover Before & After Patient #3455

Patient #3455

Click to Enlarge

Mommy Makeover Before & After Patient #3452Mommy Makeover Before & After Patient #3452

Patient #3452

Click to Enlarge

Mommy Makeover Before & After Patient #3429Mommy Makeover Before & After Patient #3429

Patient #3429

Click to Enlarge

Mommy Makeover Before & After Patient #3412Mommy Makeover Before & After Patient #3412

Patient #3412

Click to Enlarge

Mommy Makeover Before & After Patient #3409Mommy Makeover Before & After Patient #3409

Patient #3409

Click to Enlarge

Mommy Makeover Before & After Patient #3400Mommy Makeover Before & After Patient #3400

Patient #3400

Click to Enlarge

Mommy Makeover Before & After Patient #3383Mommy Makeover Before & After Patient #3383

Patient #3383

Click to Enlarge

Mommy Makeover Before & After Patient #3367Mommy Makeover Before & After Patient #3367

Patient #3367

Click to Enlarge

Mommy Makeover Before & After Patient #3355Mommy Makeover Before & After Patient #3355

Patient #3355

Click to Enlarge

Mommy Makeover Before & After Patient #3334Mommy Makeover Before & After Patient #3334

Patient #3334

Click to Enlarge

Mommy Makeover Before & After Patient #3319Mommy Makeover Before & After Patient #3319

Patient #3319

Click to Enlarge

Mommy Makeover Before & After Patient #3309Mommy Makeover Before & After Patient #3309

Patient #3309

Click to Enlarge

Mommy Makeover Before & After Patient #3304Mommy Makeover Before & After Patient #3304

Patient #3304

Click to Enlarge

Mommy Makeover Before & After Patient #3284Mommy Makeover Before & After Patient #3284

Patient #3284

Click to Enlarge

Mommy Makeover Before & After Patient #3270Mommy Makeover Before & After Patient #3270

Patient #3270

Click to Enlarge

Mommy Makeover Before & After Patient #3258Mommy Makeover Before & After Patient #3258

Patient #3258

Click to Enlarge

Mommy Makeover Before & After Patient #3243Mommy Makeover Before & After Patient #3243

Patient #3243

Click to Enlarge

Mommy Makeover Before & After Patient #1082Mommy Makeover Before & After Patient #1082

Patient #1082

Click to Enlarge

Mommy Makeover Before & After Patient #1075Mommy Makeover Before & After Patient #1075

Patient #1075

Click to Enlarge

Mommy Makeover Before & After Patient #1070Mommy Makeover Before & After Patient #1070

Patient #1070

Click to Enlarge

Breast Augmentation Before & After Patient #1063Breast Augmentation Before & After Patient #1063

Patient #1063

Click to Enlarge

Liposuction (31)

View All »

Liposuction Before & After Patient #13822Liposuction Before & After Patient #13822

Patient #13822

Click to Enlarge

Liposuction Before & After Patient #12716Liposuction Before & After Patient #12716

Patient #12716

Click to Enlarge

Tummy Tuck Before & After Patient #12391Tummy Tuck Before & After Patient #12391

Patient #12391

Click to Enlarge

Liposuction Before & After Patient #12327Liposuction Before & After Patient #12327

Patient #12327

Click to Enlarge

Liposuction Before & After Patient #12298Liposuction Before & After Patient #12298

Patient #12298

Click to Enlarge

Liposuction Before & After Patient #12148Liposuction Before & After Patient #12148

Patient #12148

Click to Enlarge

Liposuction Before & After Patient #12125Liposuction Before & After Patient #12125

Patient #12125

Click to Enlarge

Liposuction Before & After Patient #12076Liposuction Before & After Patient #12076

Patient #12076

Click to Enlarge

Liposuction Before & After Patient #11632Liposuction Before & After Patient #11632

Patient #11632

Click to Enlarge

Tummy Tuck Before & After Patient #11616Tummy Tuck Before & After Patient #11616

Patient #11616

Click to Enlarge

Liposuction Before & After Patient #11611Liposuction Before & After Patient #11611

Patient #11611

Click to Enlarge

Liposuction Before & After Patient #11543Liposuction Before & After Patient #11543

Patient #11543

Click to Enlarge

Liposuction Before & After Patient #11526Liposuction Before & After Patient #11526

Patient #11526

Click to Enlarge

Tummy Tuck Before & After Patient #11450Tummy Tuck Before & After Patient #11450

Patient #11450

Click to Enlarge

Tummy Tuck Before & After Patient #10739Tummy Tuck Before & After Patient #10739

Patient #10739

Click to Enlarge

Tummy Tuck Before & After Patient #10734Tummy Tuck Before & After Patient #10734

Patient #10734

Click to Enlarge

Liposuction Before & After Patient #10381Liposuction Before & After Patient #10381

Patient #10381

Click to Enlarge

Liposuction Before & After Patient #9504Liposuction Before & After Patient #9504

Patient #9504

Click to Enlarge

Liposuction Before & After Patient #9424Liposuction Before & After Patient #9424

Patient #9424

Click to Enlarge

Liposuction Before & After Patient #9419Liposuction Before & After Patient #9419

Patient #9419

Click to Enlarge

Liposuction Before & After Patient #7843Liposuction Before & After Patient #7843

Patient #7843

Click to Enlarge

Liposuction Before & After Patient #7274Liposuction Before & After Patient #7274

Patient #7274

Click to Enlarge

Liposuction Before & After Patient #6639Liposuction Before & After Patient #6639

Patient #6639

Click to Enlarge

Liposuction Before & After Patient #3508Liposuction Before & After Patient #3508

Patient #3508

Click to Enlarge

Liposuction Before & After Patient #3497Liposuction Before & After Patient #3497

Patient #3497

Click to Enlarge

Liposuction Before & After Patient #1053Liposuction Before & After Patient #1053

Patient #1053

Click to Enlarge

Liposuction Before & After Patient #1046Liposuction Before & After Patient #1046

Patient #1046

Click to Enlarge

Liposuction Before & After Patient #1043Liposuction Before & After Patient #1043

Patient #1043

Click to Enlarge

Liposuction Before & After Patient #1040Liposuction Before & After Patient #1040

Patient #1040

Click to Enlarge

Liposuction Before & After Patient #1028Liposuction Before & After Patient #1028

Patient #1028

Click to Enlarge

Liposuction Before & After Patient #1025Liposuction Before & After Patient #1025

Patient #1025

Click to Enlarge

Body Lift (8)

View All »

Liposuction Before & After Patient #12716Liposuction Before & After Patient #12716

Patient #12716

Click to Enlarge

Tummy Tuck Before & After Patient #11487Tummy Tuck Before & After Patient #11487

Patient #11487

Click to Enlarge

Tummy Tuck Before & After Patient #11479Tummy Tuck Before & After Patient #11479

Patient #11479

Click to Enlarge

Tummy Tuck Before & After Patient #11450Tummy Tuck Before & After Patient #11450

Patient #11450

Click to Enlarge

Body Lift Before & After Patient #10308Body Lift Before & After Patient #10308

Patient #10308

Click to Enlarge

Body Lift Before & After Patient #3556Body Lift Before & After Patient #3556

Patient #3556

Click to Enlarge

Body Lift Before & After Patient #990Body Lift Before & After Patient #990

Patient #9900

Click to Enlarge

Body Lift Before & After Patient #973Body Lift Before & After Patient #973

Patient #9730

Click to Enlarge

Fat Transfer to Butt (7)

View All »

Liposuction Before & After Patient #11611Liposuction Before & After Patient #11611

Patient #11611

Click to Enlarge

Tummy Tuck Before & After Patient #12094Tummy Tuck Before & After Patient #12094

Patient #12094

Click to Enlarge

Fat Transfer to Butt Before & After Patient #12217Fat Transfer to Butt Before & After Patient #12217

Patient #12217

Click to Enlarge

Fat Transfer to Butt Before & After Patient #11405Fat Transfer to Butt Before & After Patient #11405

Patient #11405

Click to Enlarge

Fat Transfer to Butt Before & After Patient #7867Fat Transfer to Butt Before & After Patient #7867

Patient #7867

Click to Enlarge

Fat Transfer to Butt Before & After Patient #7580Fat Transfer to Butt Before & After Patient #7580

Patient #7580

Click to Enlarge

Fat Transfer to Butt Before & After Patient #6644Fat Transfer to Butt Before & After Patient #6644

Patient #6644

Click to Enlarge

Thigh Lift (1)

View All »

Thigh Lift Before & After Patient #12346Thigh Lift Before & After Patient #12346

Patient #12346

Click to Enlarge

Renuvion (2)

View All »

Tummy Tuck Before & After Patient #10739Tummy Tuck Before & After Patient #10739

Patient #10739

Click to Enlarge

Liposuction Before & After Patient #9424Liposuction Before & After Patient #9424

Patient #9424

Click to Enlarge

Emsculpt (1)

View All »

Emsculpt Before & After Patient #7924Emsculpt Before & After Patient #7924

Patient #7924

Click to Enlarge

CoolSculpting (7)

View All »

CoolSculpting Before & After Patient #7348CoolSculpting Before & After Patient #7348

Patient #7348

Click to Enlarge

CoolSculpting Before & After Patient #1022CoolSculpting Before & After Patient #1022

Patient #1022

Click to Enlarge

CoolSculpting Before & After Patient #1019CoolSculpting Before & After Patient #1019

Patient #1019

Click to Enlarge

CoolSculpting Before & After Patient #1016CoolSculpting Before & After Patient #1016

Patient #1016

Click to Enlarge

CoolSculpting Before & After Patient #1012CoolSculpting Before & After Patient #1012

Patient #1012

Click to Enlarge

CoolSculpting Before & After Patient #1009CoolSculpting Before & After Patient #1009

Patient #1009

Click to Enlarge

CoolSculpting Before & After Patient #1006CoolSculpting Before & After Patient #1006

Patient #1006

Click to Enlarge

Breast Procedures

Breast Augmentation (109)

View All »

Tummy Tuck Before & After Patient #11616Tummy Tuck Before & After Patient #11616

Patient #11616

Click to Enlarge

Breast Augmentation Before & After Patient #11766Breast Augmentation Before & After Patient #11766

Patient #11766

Click to Enlarge

Breast Augmentation Before & After Patient #12062Breast Augmentation Before & After Patient #12062

Patient #12062

Click to Enlarge

Breast Augmentation Before & After Patient #12105Breast Augmentation Before & After Patient #12105

Patient #12105

Click to Enlarge

Breast Augmentation Before & After Patient #12205Breast Augmentation Before & After Patient #12205

Patient #12205

Click to Enlarge

Breast Augmentation Before & After Patient #12305Breast Augmentation Before & After Patient #12305

Patient #12305

Click to Enlarge

Breast Augmentation Before & After Patient #12314Breast Augmentation Before & After Patient #12314

Patient #12314

Click to Enlarge

Breast Augmentation Before & After Patient #12339Breast Augmentation Before & After Patient #12339

Patient #12339

Click to Enlarge

Breast Augmentation Before & After Patient #12358Breast Augmentation Before & After Patient #12358

Patient #12358

Click to Enlarge

Breast Augmentation Before & After Patient #12384Breast Augmentation Before & After Patient #12384

Patient #12384

Click to Enlarge

Breast Augmentation Before & After Patient #11510Breast Augmentation Before & After Patient #11510

Patient #11510

Click to Enlarge

Breast Augmentation Before & After Patient #11507Breast Augmentation Before & After Patient #11507

Patient #11507

Click to Enlarge

Breast Augmentation Before & After Patient #11500Breast Augmentation Before & After Patient #11500

Patient #11500

Click to Enlarge

Breast Augmentation Before & After Patient #11004Breast Augmentation Before & After Patient #11004

Patient #11004

Click to Enlarge

Breast Augmentation Before & After Patient #10800Breast Augmentation Before & After Patient #10800

Patient #10800

Click to Enlarge

Tummy Tuck Before & After Patient #10739Tummy Tuck Before & After Patient #10739

Patient #10739

Click to Enlarge

Breast Augmentation Before & After Patient #10471Breast Augmentation Before & After Patient #10471

Patient #10471

Click to Enlarge

Breast Augmentation Before & After Patient #10464Breast Augmentation Before & After Patient #10464

Patient #10464

Click to Enlarge

Breast Augmentation Before & After Patient #10408Breast Augmentation Before & After Patient #10408

Patient #10408

Click to Enlarge

Breast Augmentation Before & After Patient #10386Breast Augmentation Before & After Patient #10386

Patient #10386

Click to Enlarge

Breast Augmentation Before & After Patient #9984Breast Augmentation Before & After Patient #9984

Patient #9984

Click to Enlarge

Breast Augmentation Before & After Patient #9510Breast Augmentation Before & After Patient #9510

Patient #9510

Click to Enlarge

Breast Augmentation Before & After Patient #7674Breast Augmentation Before & After Patient #7674

Patient #7674

Click to Enlarge

Breast Augmentation Before & After Patient #7510Breast Augmentation Before & After Patient #7510

Patient #7510

Click to Enlarge

Breast Augmentation Before & After Patient #7225Breast Augmentation Before & After Patient #7225

Patient #7225

Click to Enlarge

Breast Augmentation Before & After Patient #6621Breast Augmentation Before & After Patient #6621

Patient #6621

Click to Enlarge

Breast Augmentation Before & After Patient #6612Breast Augmentation Before & After Patient #6612

Patient #6612

Click to Enlarge

Breast Augmentation Before & After Patient #6607Breast Augmentation Before & After Patient #6607

Patient #6607

Click to Enlarge

Breast Augmentation Before & After Patient #6579Breast Augmentation Before & After Patient #6579

Patient #6579

Click to Enlarge

Breast Augmentation Before & After Patient #6554Breast Augmentation Before & After Patient #6554

Patient #6554

Click to Enlarge

Breast Augmentation Before & After Patient #5643Breast Augmentation Before & After Patient #5643

Patient #5643

Click to Enlarge

Breast Augmentation Before & After Patient #5640Breast Augmentation Before & After Patient #5640

Patient #5640

Click to Enlarge

Breast Augmentation Before & After Patient #4868Breast Augmentation Before & After Patient #4868

Patient #4868

Click to Enlarge

Breast Augmentation Before & After Patient #4855Breast Augmentation Before & After Patient #4855

Patient #4855

Click to Enlarge

Breast Augmentation Before & After Patient #4013Breast Augmentation Before & After Patient #4013

Patient #4013

Click to Enlarge

Breast Augmentation Before & After Patient #3977Breast Augmentation Before & After Patient #3977

Patient #3977

Click to Enlarge

Breast Augmentation Before & After Patient #3941Breast Augmentation Before & After Patient #3941

Patient #3941

Click to Enlarge

Breast Augmentation Before & After Patient #3940Breast Augmentation Before & After Patient #3940

Patient #3940

Click to Enlarge

Breast Augmentation Before & After Patient #3932Breast Augmentation Before & After Patient #3932

Patient #3932

Click to Enlarge

Breast Augmentation Before & After Patient #3921Breast Augmentation Before & After Patient #3921

Patient #3921

Click to Enlarge

Breast Augmentation Before & After Patient #3912Breast Augmentation Before & After Patient #3912

Patient #3912

Click to Enlarge

Breast Augmentation Before & After Patient #3903Breast Augmentation Before & After Patient #3903

Patient #3903

Click to Enlarge

Breast Augmentation Before & After Patient #3896Breast Augmentation Before & After Patient #3896

Patient #3896

Click to Enlarge

Breast Augmentation Before & After Patient #3883Breast Augmentation Before & After Patient #3883

Patient #3883

Click to Enlarge

Breast Augmentation Before & After Patient #3873Breast Augmentation Before & After Patient #3873

Patient #3873

Click to Enlarge

Breast Augmentation Before & After Patient #3868Breast Augmentation Before & After Patient #3868

Patient #3868

Click to Enlarge

Breast Augmentation Before & After Patient #3863Breast Augmentation Before & After Patient #3863

Patient #3863

Click to Enlarge

Breast Augmentation Before & After Patient #3856Breast Augmentation Before & After Patient #3856

Patient #3856

Click to Enlarge

Breast Augmentation Before & After Patient #3849Breast Augmentation Before & After Patient #3849

Patient #3849

Click to Enlarge

Breast Augmentation Before & After Patient #3842Breast Augmentation Before & After Patient #3842

Patient #3842

Click to Enlarge

Breast Augmentation Before & After Patient #3835Breast Augmentation Before & After Patient #3835

Patient #3835

Click to Enlarge

Breast Augmentation Before & After Patient #3832Breast Augmentation Before & After Patient #3832

Patient #3832

Click to Enlarge

Breast Augmentation Before & After Patient #3825Breast Augmentation Before & After Patient #3825

Patient #3825

Click to Enlarge

Breast Augmentation Before & After Patient #3820Breast Augmentation Before & After Patient #3820

Patient #3820

Click to Enlarge

Breast Augmentation Before & After Patient #3815Breast Augmentation Before & After Patient #3815

Patient #3815

Click to Enlarge

Breast Augmentation Before & After Patient #3810Breast Augmentation Before & After Patient #3810

Patient #3810

Click to Enlarge

Breast Augmentation Before & After Patient #3798Breast Augmentation Before & After Patient #3798

Patient #3798

Click to Enlarge

Breast Augmentation Before & After Patient #3795Breast Augmentation Before & After Patient #3795

Patient #3795

Click to Enlarge

Breast Augmentation Before & After Patient #3792Breast Augmentation Before & After Patient #3792

Patient #3792

Click to Enlarge

Breast Augmentation Before & After Patient #3785Breast Augmentation Before & After Patient #3785

Patient #3785

Click to Enlarge

Breast Augmentation Before & After Patient #3782Breast Augmentation Before & After Patient #3782

Patient #3782

Click to Enlarge

Breast Augmentation Before & After Patient #3775Breast Augmentation Before & After Patient #3775

Patient #3775

Click to Enlarge

Breast Augmentation Before & After Patient #3774Breast Augmentation Before & After Patient #3774

Patient #3774

Click to Enlarge

Breast Augmentation Before & After Patient #3759Breast Augmentation Before & After Patient #3759

Patient #3759

Click to Enlarge

Breast Augmentation Before & After Patient #3752Breast Augmentation Before & After Patient #3752

Patient #3752

Click to Enlarge

Breast Augmentation Before & After Patient #3749Breast Augmentation Before & After Patient #3749

Patient #3749

Click to Enlarge

Breast Augmentation Before & After Patient #3738Breast Augmentation Before & After Patient #3738

Patient #3738

Click to Enlarge

Breast Augmentation Before & After Patient #3731Breast Augmentation Before & After Patient #3731

Patient #3731

Click to Enlarge

Breast Augmentation Before & After Patient #3728Breast Augmentation Before & After Patient #3728

Patient #3728

Click to Enlarge

Breast Augmentation Before & After Patient #3725Breast Augmentation Before & After Patient #3725

Patient #3725

Click to Enlarge

Breast Augmentation Before & After Patient #3720Breast Augmentation Before & After Patient #3720

Patient #3720

Click to Enlarge

Breast Augmentation Before & After Patient #3715Breast Augmentation Before & After Patient #3715

Patient #3715

Click to Enlarge

Breast Augmentation Before & After Patient #3712Breast Augmentation Before & After Patient #3712

Patient #3712

Click to Enlarge

Breast Augmentation Before & After Patient #3707Breast Augmentation Before & After Patient #3707

Patient #3707

Click to Enlarge

Breast Augmentation Before & After Patient #3697Breast Augmentation Before & After Patient #3697

Patient #3697

Click to Enlarge

Breast Augmentation Before & After Patient #3688Breast Augmentation Before & After Patient #3688

Patient #3688

Click to Enlarge

Breast Augmentation Before & After Patient #3674Breast Augmentation Before & After Patient #3674

Patient #3674

Click to Enlarge

Breast Augmentation Before & After Patient #3663Breast Augmentation Before & After Patient #3663

Patient #3663

Click to Enlarge

Breast Augmentation Before & After Patient #3652Breast Augmentation Before & After Patient #3652

Patient #3652

Click to Enlarge

Breast Augmentation Before & After Patient #3641Breast Augmentation Before & After Patient #3641

Patient #3641

Click to Enlarge

Breast Augmentation Before & After Patient #3628Breast Augmentation Before & After Patient #3628

Patient #3628

Click to Enlarge

Breast Augmentation Before & After Patient #1063Breast Augmentation Before & After Patient #1063

Patient #1063

Click to Enlarge

Breast Augmentation Before & After Patient #963Breast Augmentation Before & After Patient #963

Patient #9630

Click to Enlarge

Breast Augmentation Before & After Patient #958Breast Augmentation Before & After Patient #958

Patient #9580

Click to Enlarge

Breast Augmentation Before & After Patient #951Breast Augmentation Before & After Patient #951

Patient #9510

Click to Enlarge

Breast Augmentation Before & After Patient #941Breast Augmentation Before & After Patient #941

Patient #9410

Click to Enlarge

Breast Augmentation Before & After Patient #935Breast Augmentation Before & After Patient #935

Patient #9350

Click to Enlarge

Breast Augmentation Before & After Patient #928Breast Augmentation Before & After Patient #928

Patient #9280

Click to Enlarge

Breast Augmentation Before & After Patient #921Breast Augmentation Before & After Patient #921

Patient #9210

Click to Enlarge

Breast Augmentation Before & After Patient #914Breast Augmentation Before & After Patient #914

Patient #9140

Click to Enlarge

Breast Augmentation Before & After Patient #909Breast Augmentation Before & After Patient #909

Patient #9090

Click to Enlarge

Breast Augmentation Before & After Patient #902Breast Augmentation Before & After Patient #902

Patient #9020

Click to Enlarge

Breast Augmentation Before & After Patient #895Breast Augmentation Before & After Patient #895

Patient #8950

Click to Enlarge

Breast Augmentation Before & After Patient #888Breast Augmentation Before & After Patient #888

Patient #8880

Click to Enlarge

Breast Augmentation Before & After Patient #881Breast Augmentation Before & After Patient #881

Patient #8810

Click to Enlarge

Breast Augmentation Before & After Patient #874Breast Augmentation Before & After Patient #874

Patient #8740

Click to Enlarge

Breast Augmentation Before & After Patient #871Breast Augmentation Before & After Patient #871

Patient #8710

Click to Enlarge

Breast Augmentation Before & After Patient #864Breast Augmentation Before & After Patient #864

Patient #8640

Click to Enlarge

Breast Augmentation Before & After Patient #787Breast Augmentation Before & After Patient #787

Patient #7870

Click to Enlarge

Breast Augmentation Before & After Patient #780Breast Augmentation Before & After Patient #780

Patient #7800

Click to Enlarge

Breast Augmentation Before & After Patient #773Breast Augmentation Before & After Patient #773

Patient #7730

Click to Enlarge

Breast Augmentation Before & After Patient #766Breast Augmentation Before & After Patient #766

Patient #7660

Click to Enlarge

Breast Augmentation Before & After Patient #759Breast Augmentation Before & After Patient #759

Patient #7590

Click to Enlarge

Breast Augmentation Before & After Patient #752Breast Augmentation Before & After Patient #752

Patient #7520

Click to Enlarge

Breast Augmentation Before & After Patient #745Breast Augmentation Before & After Patient #745

Patient #7450

Click to Enlarge

Breast Augmentation Before & After Patient #738Breast Augmentation Before & After Patient #738

Patient #7380

Click to Enlarge

Breast Augmentation Before & After Patient #727Breast Augmentation Before & After Patient #727

Patient #7270

Click to Enlarge

Breast Augmentation Before & After Patient #716Breast Augmentation Before & After Patient #716

Patient #7160

Click to Enlarge

Breast Augmentation Before & After Patient #705Breast Augmentation Before & After Patient #705

Patient #7050

Click to Enlarge

Breast Lift (50)

View All »

Breast Augmentation Before & After Patient #12358Breast Augmentation Before & After Patient #12358

Patient #12358

Click to Enlarge

Breast Lift Before & After Patient #12112Breast Lift Before & After Patient #12112

Patient #12112

Click to Enlarge

Breast Augmentation Before & After Patient #12105Breast Augmentation Before & After Patient #12105

Patient #12105

Click to Enlarge

Tummy Tuck Before & After Patient #11487Tummy Tuck Before & After Patient #11487

Patient #11487

Click to Enlarge

Tummy Tuck Before & After Patient #10734Tummy Tuck Before & After Patient #10734

Patient #10734

Click to Enlarge

Breast Lift Before & After Patient #4827Breast Lift Before & After Patient #4827

Patient #4827

Click to Enlarge

Breast Lift Before & After Patient #4055Breast Lift Before & After Patient #4055

Patient #4055

Click to Enlarge

Breast Lift Before & After Patient #4044Breast Lift Before & After Patient #4044

Patient #4044

Click to Enlarge

Breast Lift Before & After Patient #4039Breast Lift Before & After Patient #4039

Patient #4039

Click to Enlarge

Breast Lift Before & After Patient #4034Breast Lift Before & After Patient #4034

Patient #4034

Click to Enlarge

Breast Lift Before & After Patient #4029Breast Lift Before & After Patient #4029

Patient #4029

Click to Enlarge

Breast Lift Before & After Patient #4026Breast Lift Before & After Patient #4026

Patient #4026

Click to Enlarge

Breast Lift Before & After Patient #4023Breast Lift Before & After Patient #4023

Patient #4023

Click to Enlarge

Breast Lift Before & After Patient #4018Breast Lift Before & After Patient #4018

Patient #4018

Click to Enlarge

Breast Lift Before & After Patient #4006Breast Lift Before & After Patient #4006

Patient #4006

Click to Enlarge

Breast Lift Before & After Patient #4001Breast Lift Before & After Patient #4001

Patient #4001

Click to Enlarge

Breast Lift Before & After Patient #3991Breast Lift Before & After Patient #3991

Patient #3991

Click to Enlarge

Breast Lift Before & After Patient #3984Breast Lift Before & After Patient #3984

Patient #3984

Click to Enlarge

Breast Lift Before & After Patient #3972Breast Lift Before & After Patient #3972

Patient #3972

Click to Enlarge

Breast Lift Before & After Patient #3967Breast Lift Before & After Patient #3967

Patient #3967

Click to Enlarge

Breast Lift Before & After Patient #3958Breast Lift Before & After Patient #3958

Patient #3958

Click to Enlarge

Breast Lift Before & After Patient #3951Breast Lift Before & After Patient #3951

Patient #3951

Click to Enlarge

Breast Lift Before & After Patient #3946Breast Lift Before & After Patient #3946

Patient #3946

Click to Enlarge

Breast Lift Before & After Patient #3569Breast Lift Before & After Patient #3569

Patient #3569

Click to Enlarge

Mommy Makeover Before & After Patient #3474Mommy Makeover Before & After Patient #3474

Patient #3474

Click to Enlarge

Breast Lift Before & After Patient #1411Breast Lift Before & After Patient #1411

Patient #1411

Click to Enlarge

Breast Lift Before & After Patient #1406Breast Lift Before & After Patient #1406

Patient #1406

Click to Enlarge

Breast Lift Before & After Patient #1401Breast Lift Before & After Patient #1401

Patient #1401

Click to Enlarge

Breast Lift Before & After Patient #1396Breast Lift Before & After Patient #1396

Patient #1396

Click to Enlarge

Breast Lift Before & After Patient #1391Breast Lift Before & After Patient #1391

Patient #1391

Click to Enlarge

Breast Lift Before & After Patient #1380Breast Lift Before & After Patient #1380

Patient #1380

Click to Enlarge

Breast Lift Before & After Patient #1371Breast Lift Before & After Patient #1371

Patient #1371

Click to Enlarge

Breast Lift Before & After Patient #1364Breast Lift Before & After Patient #1364

Patient #1364

Click to Enlarge

Breast Lift Before & After Patient #1357Breast Lift Before & After Patient #1357

Patient #1357

Click to Enlarge

Breast Lift Before & After Patient #1350Breast Lift Before & After Patient #1350

Patient #1350

Click to Enlarge

Breast Lift Before & After Patient #1338Breast Lift Before & After Patient #1338

Patient #1338

Click to Enlarge

Breast Lift Before & After Patient #1331Breast Lift Before & After Patient #1331

Patient #1331

Click to Enlarge

Breast Lift Before & After Patient #1326Breast Lift Before & After Patient #1326

Patient #1326

Click to Enlarge

Breast Lift Before & After Patient #1321Breast Lift Before & After Patient #1321

Patient #1321

Click to Enlarge

Breast Lift Before & After Patient #1318Breast Lift Before & After Patient #1318

Patient #1318

Click to Enlarge

Breast Lift Before & After Patient #1311Breast Lift Before & After Patient #1311

Patient #1311

Click to Enlarge

Breast Lift Before & After Patient #1304Breast Lift Before & After Patient #1304

Patient #1304

Click to Enlarge

Breast Lift Before & After Patient #1297Breast Lift Before & After Patient #1297

Patient #1297

Click to Enlarge

Breast Lift Before & After Patient #1292Breast Lift Before & After Patient #1292

Patient #1292

Click to Enlarge

Breast Lift Before & After Patient #1285Breast Lift Before & After Patient #1285

Patient #1285

Click to Enlarge

Breast Lift Before & After Patient #1278Breast Lift Before & After Patient #1278

Patient #1278

Click to Enlarge

Breast Lift Before & After Patient #1269Breast Lift Before & After Patient #1269

Patient #1269

Click to Enlarge

Breast Lift Before & After Patient #1266Breast Lift Before & After Patient #1266

Patient #1266

Click to Enlarge

Breast Lift Before & After Patient #1263Breast Lift Before & After Patient #1263

Patient #1263

Click to Enlarge

Breast Augmentation Before & After Patient #1063Breast Augmentation Before & After Patient #1063

Patient #1063

Click to Enlarge

Breast Implants Revision (9)

View All »

Breast Lift Before & After Patient #12112Breast Lift Before & After Patient #12112

Patient #12112

Click to Enlarge

Breast Implants Revision Before & After Patient #12189Breast Implants Revision Before & After Patient #12189

Patient #12189

Click to Enlarge

Breast Implants Revision Before & After Patient #12197Breast Implants Revision Before & After Patient #12197

Patient #12197

Click to Enlarge

Breast Augmentation Before & After Patient #10800Breast Augmentation Before & After Patient #10800

Patient #10800

Click to Enlarge

Breast Implants Revision Before & After Patient #9977Breast Implants Revision Before & After Patient #9977

Patient #9977

Click to Enlarge

Breast Implants Revision Before & After Patient #4814Breast Implants Revision Before & After Patient #4814

Patient #4814

Click to Enlarge

Breast Augmentation Before & After Patient #3725Breast Augmentation Before & After Patient #3725

Patient #3725

Click to Enlarge

Liposuction Before & After Patient #3497Liposuction Before & After Patient #3497

Patient #3497

Click to Enlarge

Breast Implants Revision Before & After Patient #1260Breast Implants Revision Before & After Patient #1260

Patient #1260

Click to Enlarge

Breast Implant Removal (1)

View All »

Breast Implant Removal Before & After Patient #12330Breast Implant Removal Before & After Patient #12330

Patient #12330

Click to Enlarge

Fat Transfer to Breast (2)

View All »

Liposuction Before & After Patient #10381Liposuction Before & After Patient #10381

Patient #10381

Click to Enlarge

Fat Transfer to Breast Before & After Patient #9416Fat Transfer to Breast Before & After Patient #9416

Patient #9416

Click to Enlarge

Breast Reduction (3)

View All »

Breast Reduction Before & After Patient #12050Breast Reduction Before & After Patient #12050

Patient #12050

Click to Enlarge

Breast Reduction Before & After Patient #1417Breast Reduction Before & After Patient #1417

Patient #1417

Click to Enlarge

Breast Reduction Before & After Patient #1414Breast Reduction Before & After Patient #1414

Patient #1414

Click to Enlarge

Gynecomastia for Men (1)

View All »

Gynecomastia for Men Before & After Patient #1424Gynecomastia for Men Before & After Patient #1424

Patient #1424

Click to Enlarge

Non-Surgical

Scarlet RF Microneedling (1)

View All »

Scarlet RF Microneedling Before & After Patient #12015Scarlet RF Microneedling Before & After Patient #12015

Patient #12015

Click to Enlarge

Laser Acne Protocol (1)

View All »

Laser Acne Protocol Before & After Patient #11199Laser Acne Protocol Before & After Patient #11199

Patient #11199

Click to Enlarge

Hair Restoration with PRP (2)

View All »

Hair Restoration with PRP Before & After Patient #11672Hair Restoration with PRP Before & After Patient #11672

Patient #11672

Click to Enlarge

Hair Restoration with PRP Before & After Patient #10540Hair Restoration with PRP Before & After Patient #10540

Patient #10540

Click to Enlarge

Hair Restoration with Neograft (7)

View All »

Hair Restoration with Neograft Before & After Patient #11517Hair Restoration with Neograft Before & After Patient #11517

Patient #11517

Click to Enlarge

Hair Restoration with Neograft Before & After Patient #10949Hair Restoration with Neograft Before & After Patient #10949

Patient #10949

Click to Enlarge

Hair Restoration with Neograft Before & After Patient #10946Hair Restoration with Neograft Before & After Patient #10946

Patient #10946

Click to Enlarge

Hair Restoration with Neograft Before & After Patient #6985Hair Restoration with Neograft Before & After Patient #6985

Patient #6985

Click to Enlarge

Hair Restoration with Neograft Before & After Patient #8461Hair Restoration with Neograft Before & After Patient #8461

Patient #8461

Click to Enlarge

Hair Restoration with Neograft Before & After Patient #8456Hair Restoration with Neograft Before & After Patient #8456

Patient #8456

Click to Enlarge

Hair Restoration with Neograft Before & After Patient #8453Hair Restoration with Neograft Before & After Patient #8453

Patient #8453

Click to Enlarge

Accent Prime (14)

View All »

Accent Prime Before & After Patient #7324Accent Prime Before & After Patient #7324

Patient #7324

Click to Enlarge

Accent Prime Before & After Patient #7321Accent Prime Before & After Patient #7321

Patient #7321

Click to Enlarge

Accent Prime Before & After Patient #7318Accent Prime Before & After Patient #7318

Patient #7318

Click to Enlarge

Accent Prime Before & After Patient #7315Accent Prime Before & After Patient #7315

Patient #7315

Click to Enlarge

Accent Prime Before & After Patient #7312Accent Prime Before & After Patient #7312

Patient #7312

Click to Enlarge

Accent Prime Before & After Patient #7309Accent Prime Before & After Patient #7309

Patient #7309

Click to Enlarge

Accent Prime Before & After Patient #7306Accent Prime Before & After Patient #7306

Patient #7306

Click to Enlarge

Accent Prime Before & After Patient #7303Accent Prime Before & After Patient #7303

Patient #7303

Click to Enlarge

Accent Prime Before & After Patient #7300Accent Prime Before & After Patient #7300

Patient #7300

Click to Enlarge

Accent Prime Before & After Patient #7297Accent Prime Before & After Patient #7297

Patient #7297

Click to Enlarge

Accent Prime Before & After Patient #7294Accent Prime Before & After Patient #7294

Patient #7294

Click to Enlarge

Accent Prime Before & After Patient #7287Accent Prime Before & After Patient #7287

Patient #7287

Click to Enlarge

Accent Prime Before & After Patient #7284Accent Prime Before & After Patient #7284

Patient #7284

Click to Enlarge

Accent Prime Before & After Patient #7281Accent Prime Before & After Patient #7281

Patient #7281

Click to Enlarge

Injectables (9)

View All »

Injectables Before & After Patient #11800Injectables Before & After Patient #11800

Patient #11800

Click to Enlarge

Injectables Before & After Patient #12070Injectables Before & After Patient #12070

Patient #12070

Click to Enlarge

Injectables Before & After Patient #12135Injectables Before & After Patient #12135

Patient #12135

Click to Enlarge

Injectables Before & After Patient #11202Injectables Before & After Patient #11202

Patient #11202

Click to Enlarge

Injectables Before & After Patient #4537Injectables Before & After Patient #4537

Patient #4537

Click to Enlarge

Injectables Before & After Patient #4534Injectables Before & After Patient #4534

Patient #4534

Click to Enlarge

Injectables Before & After Patient #4531Injectables Before & After Patient #4531

Patient #4531

Click to Enlarge

Injectables Before & After Patient #4524Injectables Before & After Patient #4524

Patient #4524

Click to Enlarge

Injectables Before & After Patient #4521Injectables Before & After Patient #4521

Patient #4521

Click to Enlarge

Halo Laser (6)

View All »

Halo Laser Before & After Patient #4679Halo Laser Before & After Patient #4679

Patient #4679

Click to Enlarge

Halo Laser Before & After Patient #4676Halo Laser Before & After Patient #4676

Patient #4676

Click to Enlarge

Halo Laser Before & After Patient #4673Halo Laser Before & After Patient #4673

Patient #4673

Click to Enlarge

Halo Laser Before & After Patient #4670Halo Laser Before & After Patient #4670

Patient #4670

Click to Enlarge

Halo Laser Before & After Patient #4667Halo Laser Before & After Patient #4667

Patient #4667

Click to Enlarge

Halo Laser Before & After Patient #4664Halo Laser Before & After Patient #4664

Patient #4664

Click to Enlarge

Kybella (9)

View All »

Kybella Before & After Patient #7271Kybella Before & After Patient #7271

Patient #7271

Click to Enlarge

Kybella Before & After Patient #4733Kybella Before & After Patient #4733

Patient #4733

Click to Enlarge

Kybella Before & After Patient #4728Kybella Before & After Patient #4728

Patient #4728

Click to Enlarge

Kybella Before & After Patient #4723Kybella Before & After Patient #4723

Patient #4723

Click to Enlarge

Kybella Before & After Patient #4718Kybella Before & After Patient #4718

Patient #4718

Click to Enlarge

Kybella Before & After Patient #4705Kybella Before & After Patient #4705

Patient #4705

Click to Enlarge

Kybella Before & After Patient #4700Kybella Before & After Patient #4700

Patient #4700

Click to Enlarge

Kybella Before & After Patient #4695Kybella Before & After Patient #4695

Patient #4695

Click to Enlarge

Kybella Before & After Patient #4690Kybella Before & After Patient #4690

Patient #4690

Click to Enlarge

ProCell (7)

View All »

ProCell Before & After Patient #6377ProCell Before & After Patient #6377

Patient #6377

Click to Enlarge

ProCell Before & After Patient #6351ProCell Before & After Patient #6351

Patient #6351

Click to Enlarge

ProCell Before & After Patient #6348ProCell Before & After Patient #6348

Patient #6348

Click to Enlarge

ProCell Before & After Patient #6345ProCell Before & After Patient #6345

Patient #6345

Click to Enlarge

ProCell Before & After Patient #6342ProCell Before & After Patient #6342

Patient #6342

Click to Enlarge

ProCell Before & After Patient #6339ProCell Before & After Patient #6339

Patient #6339

Click to Enlarge

ProCell Before & After Patient #6334ProCell Before & After Patient #6334

Patient #6334

Click to Enlarge

Venus Legacy (7)

View All »

Venus Legacy Before & After Patient #1829Venus Legacy Before & After Patient #1829

Patient #1829

Click to Enlarge

Venus Legacy Before & After Patient #1826Venus Legacy Before & After Patient #1826

Patient #1826

Click to Enlarge

Venus Legacy Before & After Patient #1823Venus Legacy Before & After Patient #1823

Patient #1823

Click to Enlarge

Venus Legacy Before & After Patient #1820Venus Legacy Before & After Patient #1820

Patient #1820

Click to Enlarge

Venus Legacy Before & After Patient #1817Venus Legacy Before & After Patient #1817

Patient #1817

Click to Enlarge

Venus Legacy Before & After Patient #1814Venus Legacy Before & After Patient #1814

Patient #1814

Click to Enlarge

Venus Legacy Before & After Patient #1811Venus Legacy Before & After Patient #1811

Patient #1811

Click to Enlarge

Venus Viva (2)

View All »

Venus Viva Before & After Patient #1835Venus Viva Before & After Patient #1835

Patient #1835

Click to Enlarge

Venus Viva Before & After Patient #1832Venus Viva Before & After Patient #1832

Patient #1832

Click to Enlarge

Laser Hair Removal (2)

View All »

Laser Hair Removal Before & After Patient #1784Laser Hair Removal Before & After Patient #1784

Patient #1784

Click to Enlarge

Laser Hair Removal Before & After Patient #1781Laser Hair Removal Before & After Patient #1781

Patient #1781

Click to Enlarge

Laser Skin Resurfacing (10)

View All »

Laser Skin Resurfacing Before & After Patient #12024Laser Skin Resurfacing Before & After Patient #12024

Patient #12024

Click to Enlarge

Laser Skin Resurfacing Before & After Patient #7864Laser Skin Resurfacing Before & After Patient #7864

Patient #7864

Click to Enlarge

Laser Skin Resurfacing Before & After Patient #1808Laser Skin Resurfacing Before & After Patient #1808

Patient #1808

Click to Enlarge

Laser Skin Resurfacing Before & After Patient #1805Laser Skin Resurfacing Before & After Patient #1805

Patient #1805

Click to Enlarge

Laser Skin Resurfacing Before & After Patient #1802Laser Skin Resurfacing Before & After Patient #1802

Patient #1802

Click to Enlarge

Laser Skin Resurfacing Before & After Patient #1799Laser Skin Resurfacing Before & After Patient #1799

Patient #1799

Click to Enlarge

Laser Skin Resurfacing Before & After Patient #1796Laser Skin Resurfacing Before & After Patient #1796

Patient #1796

Click to Enlarge

Laser Skin Resurfacing Before & After Patient #1793Laser Skin Resurfacing Before & After Patient #1793

Patient #1793

Click to Enlarge

Laser Skin Resurfacing Before & After Patient #1790Laser Skin Resurfacing Before & After Patient #1790

Patient #1790

Click to Enlarge

Laser Skin Resurfacing Before & After Patient #1787Laser Skin Resurfacing Before & After Patient #1787

Patient #1787

Click to Enlarge

Weight Loss

Gastric Balloon (6)

View All »

Gastric Balloon Before & After Patient #10405Gastric Balloon Before & After Patient #10405

Patient #10405

Click to Enlarge

Gastric Balloon Before & After Patient #9955Gastric Balloon Before & After Patient #9955

Patient #9955

Click to Enlarge

Gastric Balloon Before & After Patient #9729Gastric Balloon Before & After Patient #9729

Patient #9729

Click to Enlarge

Gastric Balloon Before & After Patient #9404Gastric Balloon Before & After Patient #9404

Patient #9404

Click to Enlarge

Gastric Balloon Before & After Patient #7951Gastric Balloon Before & After Patient #7951

Patient #7951

Click to Enlarge

Gastric Balloon Before & After Patient #6916Gastric Balloon Before & After Patient #6916

Patient #6916

Click to Enlarge

PSSg Newsletter

PSSG NEWSLETTER

Total weight lost
by PSS Weight Loss Program Patients:

0000
lbs

to date.

face

face

body

body

breast

breast

Injectables

Injectables

hair

hair

lasers

lasers

reconstructive

reconstructive

weight loss

weight loss

Our Surgeon

Patient Coordinators

Dr. Hvistendahl

Learn more

Testimonials

"I went here to get a consultation about Coolsculpting to get rid of some stubborn belly fat and ‘love handles’ that I was not able to get rid of with diet and exercise. So worth it. I didn’t want an invasive procedure so was hoping this would accomplish my goal and it certainly has."
- Happy Patient
"Everyone at PSS has become like a family to me. They are a genuine and caring group of professionals!! I highly recommend this practice for any non-invasive and/or surgery procedures. They are true professionals and you cannot go wrong. It is a win-win experience."
- Happy Patient

Patient Coordinators

Patient Coordinators

Lyvia

Meet Lyvia, our dedicated Patient Care Coordinator, who is happy to answer any questions you may have about upcoming procedures with personalized care and expertise!

Contact Us Today

Contact Us

    By checking, you are agreeing to receive informational text messages from Plastic Surgery Specialists. Message frequency varies. Message & data rates may apply. Reply HELP for help or STOP to cancel. See our Privacy Policy. We do not share or sell your mobile information to third parties.

    Protected by Recaptcha. Privacy & Terms
    Covid-19 Update
    We are currently offering complimentary virtual consultations.
    Get Started
    over 18

    You must be 18+ to view this Before & After Photo Gallery

    You must be at least eighteen years old to view this content. Are you over eighteen and willing to see adult content?

    GrowthMed Medical Marketing

    TAKE A STEP CLOSER TO YOUR INNER AND OUTER BEAUTY

    REQUEST A CONSULTATION

      By checking, you are agreeing to receive informational text messages from Plastic Surgery Specialists. Message frequency varies. Message & data rates may apply. Reply HELP for help or STOP to cancel. See our Privacy Policy. We do not share or sell your mobile information to third parties.

      Protected by Recaptcha. Privacy & Terms
      white marble background
      gold marble background
      gold marble background
      background
      • 350 Bon Air Rd #300,
        Greenbrae, CA 94904
      logo
      • (415) 925-2880
      • Home
      • About
      • Contact
      • Privacy

      © 2026 Plastic Surgery Specialty Group. All Rights Reserved.

      Medical Web Design & Marketing by GrowthMed.
      5.0 stars - based on 64 reviews
      Photos Call Email